・原疾患の増悪(ILDなど)
・薬剤性
・細菌感染症
・日和見感染症(真菌, カリニ, CMVなど) 様々な可能性を考慮せねばならない.
免疫不全患者で肺炎を併発した患者群の画像所見の比較
(Diagn Interv Radiol 2008; 14:75-82)
・細菌性肺炎 19例, 真菌感染症 20例, アスペルギルス感染症 10例, PCP 8例, CMV肺炎 9例
真菌, アスペルギルス, PCPの画像所見
・PCPは広い範囲のGGOが主な所見となる一方,
真菌感染症はGGOは少なく, 限局的(結節様となる)
・空洞性病変は真菌感染, アスペルギルスを示唆する.
細菌性肺炎, CMV肺炎の画像所見
・Consolidationが主な場合は細菌感染症の可能性.
・CMV肺炎では気管支壁飛行やスリガラス状の結節, 小葉中心性陰影が主.
PCPの画像所見のまとめ
(AJR 2012; 198:W555–W561)
PCPの画像所見では広い範囲のGGOが特徴的
・AIDS関連PCPでは, 中枢優位のGGOで, 末梢側がスペアされるタイプが41%, モザイクパターンが29%, びまん性分布が24%
・AIDS非関連性PCPではGGOがより顕著となる.
より進行すると, 小葉間隔壁が目立つようになる(Crazy paving)
・Consolidationも認められる.
・ConsolidaitonはよりAIDS非関連性に多く, 急速に進行する
予防投与が広まった現在では, 嚢胞性病変の頻度も増加
・よりAIDS関連PCPで多い.
・嚢胞が原因で気胸となる例もある
肉芽腫を形成する炎症も5%で認められる.
・HIV感染初期で, 免疫低下が軽度の時に多く認められる.
MTX肺炎, PCP(非HIV患者), PCP(HIV患者)の画像所見
(Inter Med 2008;47: 915-923)
Type A; びまん性のGGOで小葉全体に広がる. → 正常肺とGGO境界が小葉間隔壁で明瞭.
Type B; びまん性のGGOで小葉間隔壁で明瞭に分布が分かれない.
Type C; Consolidation + GGOといったその他のパターン
・HIV患者のPCPではtype Bが大半を占める.
・非HIV患者ではMTXとPCP双方ともType A, Bが多く, 判別が難しい.
CMV肺炎の画像所見のまとめ(非AIDS例)
韓国における非AIDS症例のCMV肺炎 10例の画像所見
(Korean J Radiol 2000;1:73-78 )
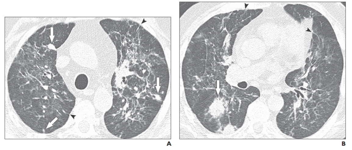
・両側性, びまん性のGGO, 小結節を呈することが多い.
非AIDS症例, 免疫不全患者におけるCMV肺炎32例の画像
・免疫不全の原因は骨髄移植(25), 臓器移植(5), ステロイド(2)
CT所見頻度は,
・GGOが21/32と最多. 分布は斑状が17, びまん性 3例.
GGOが主な所見であったのが9例. GGOのみは3例
・Consolidationは19/32
・多発性結節が19/32
・Haloを伴う結節が7/32
・Bronchovascular bundleの肥厚 7/32
・胸水貯留 7/32
・Tree-in-Bud 4/32
PCPとCMV肺炎の画像の比較
31例のCMV肺炎と27例のPCP症例を比較
(Br J Radiol. 2007 Jul;80(955):516-23. Abstruct)
・CMV肺炎は全例血液腫瘍を背景とし, 26例は造血幹細胞移植後の発症
・PCPは血液腫瘍は17例, 造血幹細胞移植後は6例, 固型腫瘍5例, ステロイド 5例と背景疾患は様々.
CT所見では5種類の所見に有意差が認められた
・肺尖部の病変
モザイクパターン
均一なGGO所見 の3項目はPCPで有意に認められる所見,
・小結節病変
GGOやConsolidationの境界が不鮮明なのはCMV肺炎で有意に認められる
・末梢側のスペア, Consoliation, 小葉間隔壁肥厚は両者で同等
21例のCMV肺炎, 70例のPCP症例の画像所見を比較
(Acta Radiol. 2015 Jul;56(7):806-13. Abstruct)
・CMV肺炎で有意に多く認められる所見は,
小結節像, Tree-in-budパターン, Haloサインの3つ
・PCPでは広い範囲のGGO, モザイクパターン, びまん性分布が有意に多い









