症例: 70台女性. RA既往あり
RAは他病院通院中. コントロールは良好
2-3ヶ月前より急速に認知機能が低下したとのことで精査された.
頭部MRIでは両側性, 頭頂葉〜後頭葉に白質病変が目立ち, IVLや脱髄性疾患の可能性が示唆された.
CSF検査や自己抗体検査では異常認めず, IVLを疑ってのランダム皮膚生検も異常無し.
原因不明と思われた
----------------------
詳細に病歴聴取をすると, 3ヶ月前にRAに対するMTXを連日服用したとことで, 汎血球減少を呈し, 入院していたことが判明した. そしてその入院中〜後から明らかに認知機能が低下したとの家族からの情報も得られた.
その入院時ではMRIは不明, 今までのMRIも評価されておらず, 比較はできない.
このことから, もしかすると
MTXによる白質脳症では? という疑いになった.
----------------
MTXによる白質脳症
MTXの神経毒性は通常軽度ではあるが, 稀に重度の白質脳症を呈することがある.
・主にMTXの髄注やリンパ腫に対する高用量MTXが原因となるが, RA患者に対するMTXでも同様の報告がある.
MTXによる白質脳症の機序は未だ不明確.
・複数の機序が推測されている;
アデノシン蓄積の増加
ホモシスチンの上昇によるNMDA受容体刺激の増加
Biopterin代謝の変化
・MTX白質脳症は主に小児におけるMTXの経静脈投与, 髄注により生じる報告が多く, 経口投与における合併は非常に稀.
・症状は痙攣が88%と最も多く, 他は認知機能低下, 見当識障害, 頭痛, 視覚障害など非特異的症状. 小脳失調の報告も少ない
・CSFは正常のことがほとんど
68歳男性, RAに対してMTX 25mg/wkを使用中に, 進行する呂律障害, 失調, 認知機能障害を認め, MRIにてT2WI, FLAIRで小脳, 頭頂葉に高信号を認めた.
(Cerebellum (2014) 13:178–183)
・MTXは2009年~開始, 症状は20日前~出現, 増悪する経過.
・CSF検査や他の検査では他の原因は認めず
・MTX中止にて徐々に画像, 所見は改善
この論文でまとめられた, 2014年までに発表されたリウマチ性疾患に対するMTX投与に起因する白質脳症の症例報告のまとめ
MTX白質脳症の評価にはMRIが有用
・典型的なのは左右対称性の白質病変で, 頭頂-後頭葉に多い
他に前頭葉, 脳幹, 基底核, 視床, 小脳, 脊椎など様々な部位に生じ得る
・画像からは, 血管性浮腫やBBBの破壊が予測されている
造影MRIでは造影されないことが多い
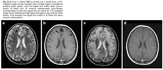
報告より画像をいくつか貼り付ける:
(Intern Med 50: 2219-2222, 2011)
(Neuroradiology (2003) 45: 493–497)
(Clinical Case Reports 2018; 6(3): 469–472)
------------------------------
RA患者では稀とはいえ, 気にしておきたい病態.
MTX使用患者での認知症の進行, 神経症状例では注意したい




