CTRXは投与量の40%が胆汁中に分泌される.
胆汁における濃度は血中濃度の20-150倍となり, さらにCTRXは胆汁中のCaイオンに結合して沈澱を誘発するため 胆石症や胆泥のリスクとなることが知られている.
また, CTRXは腎臓でもCaイオンと結合し, 腎結石を形成することも報告がある.
CTRXを使用し細菌感染症を治療する84例において, CTRX使用前と使用後で腹部エコーを行い, 胆石, 胆泥, 尿路結石を評価した.
(Drug Healthc Patient Saf. 2018 Dec 12;10:103-108.)
・治療期間は4.19±2.54日, CTRX投与回数は10.2±5.9回
・肝胆道系障害がある患者と腎障害がある患者は除外
アウトカム:
・CTRX治療後に胆石を認めた症例が6例(8.8%), 尿路結石は1例(1.5%)で検出された.
・サイズは腎結石が4.41±1.69mm 胆石が11.74±13.35mm と大きい.
・結石(-)と比較してDoseや治療期間は有意差なし.
・結石形成例はより高齢者が多い; 73±18歳 vs 54±19歳
BMIは有意差なし
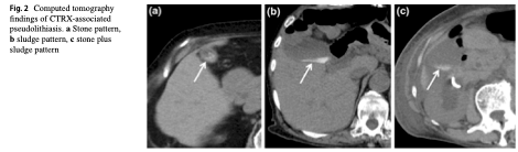
CTRX投与後の胆石症と診断された17例の特徴とフォロー
(Jpn J Radiol. 2019 Dec;37(12):826-831.)
・CTRX投与前2ヶ月以内にCT検査がされており, その際は胆石は陰性,
そして投与後に胆石所見を認めた症例で, さらに中止後に胆石所見が消失した症例を抽出
・女性が10例, 中央年齢は78歳[範囲31-88]
・CTRX投与〜結石診断までは10日間[範囲4-32]
・CT所見は胆泥パターンが11例(64.7%), 胆石が2例(11.8%) , 胆泥+胆石が4例(23.5%)
・CTRX中止後〜胆石消失までは69日間.
腎結石のリスク
小児の腎盂腎炎において, CTRX 75mg/kgの投与を行った284例を評価
(Pediatr Nephrol. 2007 May;22(5):690-4.)
・初回腎エコーを2日目に行い, また投与終了後にも行った.
所見を認めた患者では3ヶ月後もフォロー.
・284例において, 初回エコーは全例で正常.
CTRX治療終了後のエコーでは4例(1.4%[0.96-1.83])で腎結石(+)
・3ヶ月後のフォローアップでは全例で消失.
・特にリスク因子となるものは認められず
--------------------------
CTRXはCaイオンと結合して腎結石や胆石のリスクとなる.
腎結石はおおよそ1-2%程度の頻度, 胆石は10回の投与, 5-10日間の使用により8.8%の頻度で, 胆石形成のリスクの方が高そう.
双方ともCTRX投与中止後, 2-3ヶ月の経過で消失することが多い.
胆石症では総胆管結石をおこして内視鏡治療や胆管炎治療が必要となる例もある.

